初めての方へ

歯の矯正は生涯の財産になるもの
個々の患者の思いに応える治療を追求
治療に入る前のカウンセリングでは、特に丁寧に説明することを心がけています。
治療方針に納得していただくまでは、その後の治療に入ることはございません。

当院では目立ちにくい矯正装置を使うことを推奨

マウスピース型矯正装置
目立ちにくいことに加えて、取り外しが可能なため
お口の中を清潔に保つことができる

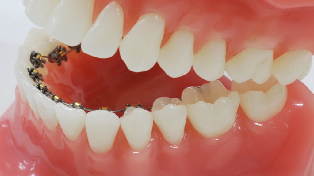
舌側矯正治療〈裏側治療〉
「他人から矯正しているのが気づかれにくい」というメリット
医院の特徴
カウンセリングを重視
当院では、矯正治療を行うべきか、料金、治療方法など
患者さんのご意見を交えることを心がけています。
ご納得いただくまでは治療に入ることはありませんのでご安心ください。

地域に根ざした
清潔感あふれる医院
2007年より支持頂いている当院では、診察前にリラックスできる雰囲気、初めてご来院いただく患者さまでも緊張を緩和できる空間となるように心がけています。
また、当院では器具の滅菌処理を徹底、空気清浄機や空間除菌脱臭機を設置して院内感染予防対策も徹底しております。

ルーペによる正確な治療
拡大鏡(ルーペ)を使用することにより、肉眼よりも鮮明に確認ができるので裸眼より正確な診断・治療を行うことができます。

3次元画像での撮影が可能
立体的に口腔内の状況を詳細に把握することが可能になり、
より的確な診断が行えます。

院長挨拶
井植 温
IUE ATSUSHI
ご挨拶
皆様、こんにちは。清瀬矯正歯科の院長、井植 温です。
当院のホームページにアクセスして頂きありがとうございます。
歯列矯正治療は高度な専門技術が必要であり、近年では矯正装置や材料も進化し続けています。
患者さまへより質の高い治療を提供できるよう、
国内外の学会や講習会に出席し新しい技術を習得して、努力を続けています。
矯正治療で得られる歯の土台は長きにわたり
自分の歯で噛んで、食べて、話せる、生涯の財産になります。
長期に渡る治療の間、ストレスなく治療を続けられるよう、
スタッフ一同、患者さまとの信頼関係の構築するよう努めて治療に取り組んでおります。
歯並びや噛み合わせが気になる方に充分なカウンセリングを受けてから、
納得の上で治療をはじめていただけるように、カウンセリングをもうけておりますので、
お気軽にご予約・ご来院ください。
経歴
| 1997年3月 | 朝日大学歯学部 卒業 |
|---|---|
| 2002年3月 | 朝日大学歯学部矯正科大学院 卒業 |
| 2002年4月 | 朝日大学歯学部歯科矯正学講座 非常勤講師 大阪府矯正歯科専門医院 勤務 |
| 2002年11月 | 日本矯正歯科学会 認定医 |
| 2007年11月 | 清瀬矯正歯科 開院 |
| 2009年4月 | 清瀬市歯科医師会 理事に就任 |
所属
日本顎関節学会
日本矯正歯科学会
公益財団法人 日本臨床矯正歯科学会
日本成人矯正歯科学会
日本舌側矯正歯科学会
近畿東海矯正歯科学会
岐阜歯科学会

医院概要
| 医院名 | 清瀬矯正歯科 |
| 診療科目 | 矯正歯科 |
| 住所 | 〒204-0022 東京都清瀬市松山1-11-21 ブリリアントI 2F 最寄り駅:西武池袋線「清瀬」駅より徒歩2分 |
| 電話番号 | 042-497-7773 |
| 院長名 | 井植 温 |
| 診療時間 | 10時~12時 14時~19時 |
| 休診日 | 月・水・祝 日曜診療 2回/月 |
| 診療時間 | 月 | 火 | 水 | 木 | 金 | 土 | 日 | 祝 |
|---|---|---|---|---|---|---|---|---|
| 10:00 〜 12:00 | ー | ● | ー | ● | ● | ● | ※2 | ー |
| 14:00 〜 19:00 | ー | ● | ※1 | ● | ● | ▲ | ※2 | ー |
▲ :土曜午後は13:00~17:00
休診日:月曜、水曜、日曜、祝日
※1 :水曜は月2回診療(午後のみ)
※2 :日曜は月2回診療(午前10:00~12:00、午後13:00~17:00)
アクセス
〒204-0022
東京都清瀬市松山1-11-21 ブリリアントI 2F
西武池袋線「清瀬駅」南口より徒歩2分
近隣にコインパーキング有り
